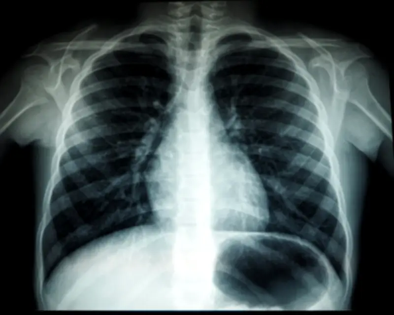
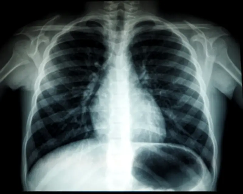
Kes TB Pertama Luar Zon Wabak Kota Tinggi: Murid Sekolah Rendah Pontian Disahkan Positif
Pejabat Kesihatan Daerah Pontian telah mengesahkan bahawa seorang murid lelaki sekolah rendah dari daerah tersebut telah dijangkiti tuberkulosis selepas ujian menunjukkan keputusan positif untuk penyakit pernafasan itu.
Saringan Komprehensif Untuk Kenalan Rapat Dilaksanakan
Pejabat kesihatan daerah telah menjalankan saringan kesihatan terhadap murid-murid lain yang dikenal pasti sebagai kenalan rapat berikutan pengesanan kes tersebut di sebuah sekolah rendah di Pontian. Ini merupakan kes pertama individu di luar zon wabak tuberkulosis di Kota Tinggi yang telah dijangkiti penyakit berjangkit tersebut.
Menurut kenyataan rasmi daripada Pengerusi Jawatankuasa Pendidikan dan Penerangan Johor, Aznan Tamin, pejabat kesihatan daerah Pontian telah mengambil langkah segera mengikut protokol rawatan selepas murid tersebut disahkan positif. "Pejabat Kesihatan Daerah Pontian telah mengenal pasti semua kenalan rapat dan mereka telah diarahkan menjalani saringan mengikut garis panduan Kementerian Kesihatan di klinik kesihatan daerah," jelas Aznan, yang juga merupakan Ahli Dewan Undangan Negeri Tanjung Surat.
Langkah Pencegahan dan Pembersihan Menyeluruh
Sebagai langkah pencegahan, sanitasi dan pembersihan menyeluruh juga akan dilaksanakan di kawasan berisiko. Aznan menekankan kepentingan kepatuhan semua sekolah terhadap garis panduan Kementerian Kesihatan mengenai penyakit berjangkit untuk memastikan persekitaran pembelajaran yang selamat.
"Keselamatan murid dan guru adalah keutamaan kami. Kerjasama semua pihak sangat penting untuk memastikan langkah pencegahan ini dilaksanakan dengan berkesan," tegas beliau dalam kenyataan yang dikeluarkan hari ini.
Latar Belakang Wabak di Kota Tinggi
Kejadian ini berlaku selepas enam murid dari beberapa sekolah di Kota Tinggi dijangkiti tuberkulosis minggu lepas dan sedang menjalani rawatan. Pada Khamis lalu, enam murid di Kota Tinggi disahkan positif TB selepas saringan kenalan rapat yang dijalankan oleh Kementerian Kesihatan berikutan wabak di salah satu lokaliti daerah tersebut.
Setakat semalam, situasi tuberkulosis di Kota Tinggi dilaporkan berada di bawah kawalan dengan mereka yang terjejas menerima rawatan dan pemantauan rapi. Pengesanan kes di Pontian ini menandakan perkembangan baru dalam penularan penyakit tersebut di negeri Johor.



